Tu fuerza es la comunidad
Bienvenido a Alfa-1 Argentina
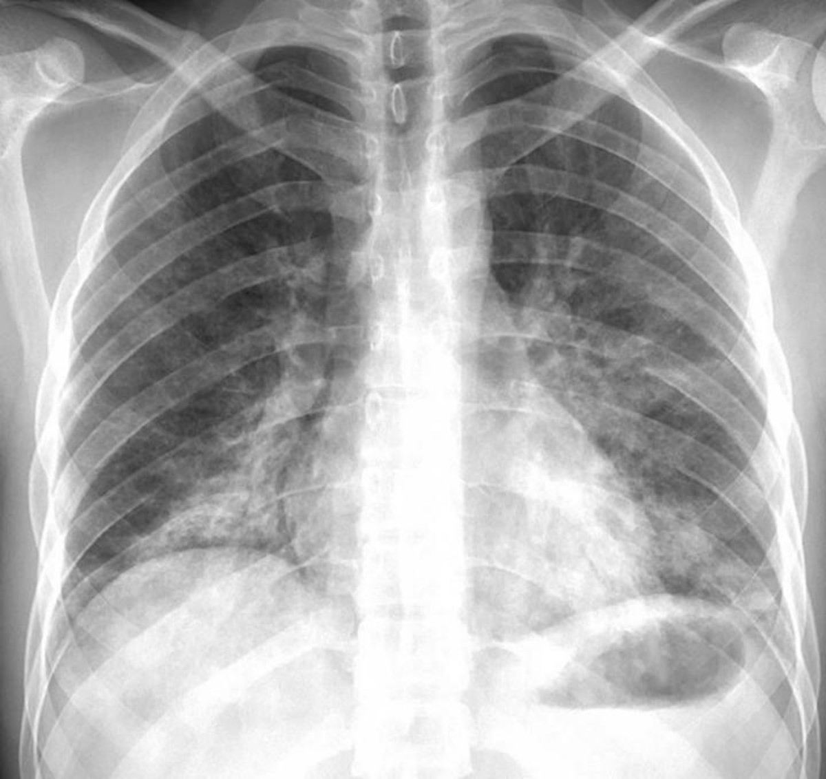
La Deficiencia de Alfa-1 Antitripsina (Alfa-1) es un trastorno que se trasmite genéticamente. Este trastorno puede resultar en serias complicaciones pulmonares en adultos así como también en complicaciones hepáticas y cutáneas serias en bebés, niños y adultos.
Síntomas más frecuentes
Síntomas relacionados con los pulmones:
Falta de aire, sibilancias, tos crónica, flema, fatiga, resfriados frecuentes.
Síntomas relacionados con el hígado:
Ojos y piel se tornan amarillentos, Hinchazón del abdomen y/o las piernas, Vómito con sangre o Rastros de sangre en las heces, Picazón generalizada.
Síntomas en niños:
Ictericia prolongada, Heces pálidas, Hígado agrandado, Hinchazón abdominal, Daño hepático temprano
Vivir bien con Déficit Alfa-1
Mueva su Cuerpo
Mantenerse activo es vital, caminar es la forma más segura y recomendada de ejercicio de bajo impacto para la mayoría de los pacientes con Alfa-1. Consulte siempre a su equipo de salud antes de empezar cualquier rutina de ejercicio.
Cuidados al limpiar
Tareas domésticas sencillas como pasar la aspiradora levantan polvo y otras sustancias que pueden irritar o dañar los pulmones. Utilice productos naturales, como el vinagre, en lugar de productos con químicos agresivos.
Cero Humo
Deje de fumar inmediatamente y evite el humo de segunda mano, el polvo y la contaminación del aire.
El humo es el peor enemigo del pulmón con Alfa-1.
Cuide su Hígado con la Dieta
Para proteger su hígado, controle estrictamente su peso corporal, ya que el sobrepeso puede agravar el riesgo de hígado graso. Siga una dieta saludable, rica en frutas y cereales integrales. Es crucial limitar el consumo de alcohol: si ya tiene daño hepático, debe abstenerse por completo; si no, consulte a su médico sobre el consumo social.
Comparta la Información con su Familia
El Déficit de Alfa-1 Antitripsina es hereditario. Es fundamental que comparta su diagnóstico con toda su familia, ya que el cribado familiar es esencial para que puedan tomar medidas preventivas a tiempo. Recuerde que no está solo/a. La información compartida salva vidas.
La fundación
Somos una organización dedicada a visibilizar, educar y acompañar a personas afectadas por el Déficit de Alfa-1 Antitripsina.
Trabajamos para brindar información clara, apoyo emocional y acceso a recursos confiables.
Misión
Contribuir a un diagnóstico temprano y apoyar a cada persona dentro de nuestra comunidad a que pueda acceder al tratamiento adecuado.
Impulsar a la comunidad médica hacia el diagnóstico temprano, mejorar la calidad de vida de las personas afectadas y trabajar juntos hasta encontrar la cura del DAAT.
Visión
Ser líderes en diagnóstico, acompañamiento e investigación del Déficit de Alfa-1 Antitripsina.
Valores
Empatía, compromiso, transparencia, colaboración y esperanza.
Trabajamos cada día para acompañar, informar y mejorar la vida de quienes viven con Alfa-1.
Testimonios de quienes viven con Déficit de ALFA-1
Las historias reales de pacientes con Déficit de Alfa-1 Antitripsina (DAAT) a menudo giran en torno a la adaptación a un estilo de vida y la búsqueda de diagnósticos tardíos.
Flexibilidad y seguridad en el tratamiento del Déficit Alfa-1 Antitripsina
Este video, producido por la Fundación Alfa-1 Argentina, muestra cómo la auto infusión de Alfa-1 Antitripsina puede ser una opción segura y práctica para algunos pacientes, siempre que se realice siguiendo las indicaciones médicas y las normas de seguridad. No busca reemplazar otros métodos de administración, sino mostrar una alternativa que brinda mayor flexibilidad al tratamiento. La forma de aplicación debe ser definida por el médico tratante, de acuerdo a cada caso.
Contáctanos si tienes dificultades para acceder a la medicación. La fundación ofrece gratuitamente nuestro bufete de abogados para ayudarte a obtenerla.
Diagnóstico
El diagnóstico se realiza mediante un simple análisis de sangre que mide los niveles de Alfa-1 Antitripsina.
Es rápido, accesible y puede evitar complicaciones futuras.
¿Cuándo hacerse el test?
-
Si tenés EPOC, enfisema o asma de difícil control.
-
Si hay antecedentes familiares.
-
Si tenés problemas hepáticos sin causa clara.
-
Si sos fumador o ex-fumador y tenés síntomas respiratorios.
